为满足老百姓对现代医院精准诊断的需求,实现诊断与治疗水平同步提高,促进医院持续发展,双辽市中心医院最新引进美国通用电气公司生产的GE1.5T超导磁共振设备,已于2022年2月19日正式投入使用。

磁共振室环境优美
磁共振成像(MRI)是一种安全可靠的高科技检查设备,无X线辐射损伤,是真正意义上的无创性检查。
GE1.5T超导磁共振全新革新了磁体、梯度、射频、计算机后处理等硬件平台,开起了精准医疗环境下精准定量影像的新时代。
GE1.5T磁共振具有无电离辐射,无骨伪影干扰,可无需重建而任意方向切面成像、多参数成像,具有软组织分辨率高,病变定位准确等多种优势。能够早期发现病变,确切显示病变大小和范围,定性诊断准确率高。适用于全身各系统疾病的检查,如(1)头部病变:超急性期脑梗死、脑肿瘤、感染性病变、脑内动静脉血管病变、颅底、后颅窝病变,听神经病变,脑干病变等。(2)脊柱脊髓病变:椎体退行性病变、椎管内肿瘤、间盘病变、脊髓炎症及脱髓鞘病变、结核性病变、外伤、颈部动脉血管病变等。(3)四肢关节病变:关节软骨损伤、关节积液、关节韧带损伤、半月板损伤、股骨头缺血坏死等。(4)腹部病变:腹腔肿瘤性病变、胆管结石及胆管占位、肾上腺病变、胰腺炎症及肿瘤病变等。(5)盆腔病变:子宫肌瘤、卵巢囊肿、宫颈癌、前列腺增生、前列腺癌、膀胱肿瘤等。
GE1.5T超导磁共振能够利用特有的检查技术完成其他影像设备所不能完成的诊断,满足了广大患者对高端设备检查的需求,更为医院临床诊断、治疗提供了更加便捷、准确的技术支持,我院竭诚为广大患者提供更优质的诊疗服务。

脑肿瘤

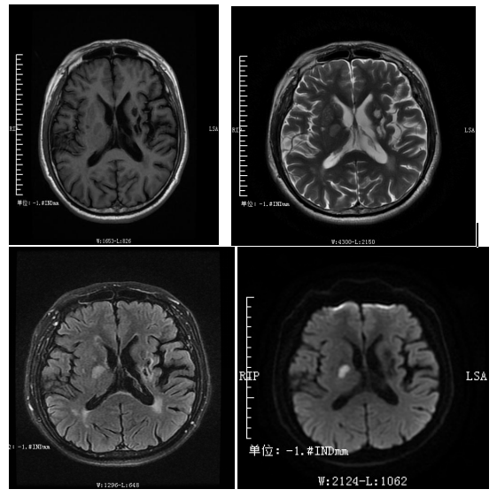
急性腔隙性脑梗死

SWAN(磁敏感成像)动静脉畸形

头部MRA正常 颈部MRA左侧椎动脉纤细

3D ASL (动脉自旋标记灌注成像) 正常图像

脊柱脊髓成像


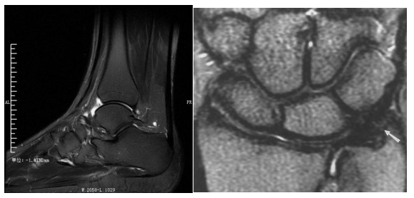
四肢关节:主要检查关节软骨、韧带、肌肉等病变。

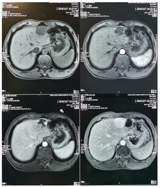
肝脏血管瘤

磁共振胰胆管水成像(MRCP)

胆总管结石(MRCP)


前列腺增生

膀胱癌
作者|李 伟 孟 丽
摄影|田小丽
关注我们